
Bladder
| Date of Presentation | 2/18/2025 |
| Attending pathologist | Anil Parwani, MD, PhD, MBA |
| Presented by | Dr Akansha Deshwal, Dr Himani Kumar, Dr Sambit K Mohanty |
| Organ | Bladder |
HISTORY:
A male in his 60s with a past medical history of bladder cancer, atrial fibrillation and BPH (benign prostatic hyperplasia).
The patient underwent multiple bladder instrumentation/procedures (TURBT, cystourethroscopy, ureteroscopy, ureteroneocystostomy, instillation of anticarcinogenic agent in the bladder)
Most recent cystoscopy revealed a papillary area over right lateral bladder wall.
CT Urogram showed bladder wall thickening more notable on the right posterior lateral wall.
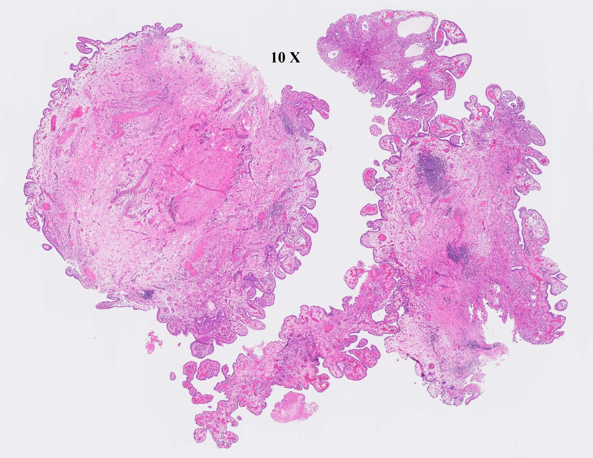
GROSS:
We received multiple tan pink soft tissue pieces measuring 0.5 x 0.4 x 0.3 cm in aggregate.

What is the most likely diagnosis?
- Nephrogenic Adenoma of Bladder
- Urothelial Papilloma
- Papillary urothelial neoplasm with low malignant potential
- Low-grade papillary urothelial carcinomas
Reveal Answer
Nephrogenic Adenoma of Bladder